• Lịch làm việc
    Thứ 2 - thứ 7: 8h30-19h30
    Chủ nhật: 8h30-12h
  • Hotline
    Giải đáp thắc mắc dịch vụ, phản ánh chất lượng dịch vụ: 0703.1111.39
    nhakhoatamviet366@gmail.com
  • Địa chỉ
    366 Quang Trung, Phường 10
    Quận Gò Vấp, Thành Phố Hồ Chí Minh
Thời gian niềng răng hô
Thứ 3 | 18/04/2017 - Lượt xem: 2433

Dịch vụ niềng răng hô thẩm mỹ tại nha khoa uy tín Tâm Việt  là phương pháp niềng răng giúp bạn cải thiện tình trạng hô lâu dài, mang lại vẻ đẹp thẩm mỹ cho hàm răng của bạn

 

Dịch vụ niềng răng hô thẩm mỹ như thế nào?

 
Răng hô là hàm răng khấp khểnh, răng hô ra ngoài gây mất thẩm mỹ, có một số trường hợp sẽ không thể khép môi lại đượclàm bạn thiếu tự tin, ngại giao tiếp với mọi người đây là nguyên nhân bạn tìm đến bác sĩ nha khoa niềng răng hô.

 


 
 
Nguyên nhân gây ra răng hô mà bạn thường gặp?


Răng hô do nhiều nguyên nhân gây nên như các thói quen xấu (mút tay, đẩy lưỡi ra trước, mút môi dưới, thở miệng, cắn viết…). Những thói quen ấy nếu cứ kéo dài sẽ tạo ra những di chuyển răng ngoài ý muốn, gây ra những lệch lạc hay thưa về răng và hàm mặt, làm mất đi tính thẩm mỹ của hàm răng.

 


Phương pháp niềng răng hô mang lại hiệu quả cao cho khách hàng?


Răng hô đối với người trưởng thành

+ Do khối xương hàm đã ổn định, không còn phát triển nữa nên chỉ định thường đặt ra là nhổ răng. Ngoài ra, trong những trường hợp răng hô nặng thì có thể bác sĩ sẽ chỉ định thêm cấy minivis nhằm giảm hô. Đối với người trưởng thành vấn đề thẩm mỹ luôn được quan tâm hàng đầu, chính vì vậy tại Nha Khoa Tâm Việt, chúng tôi có nhiều loại mắc cài mang tính thẩm mỹ cao, giá thành phù hợp với nhiều đối tượng bệnh nhân. Giúp cho bệnh nhân có một hàm răng đẹp, tự tin, thành công trong cuộc sống.

Răng hô đối với trẻ em

+  Hầu hết các thói quen xấu này đều phải chữa trị trước khi răng trưởng thành mọc lên để tránh tình trạng răng bị lệch lạc, sai khớp cắn. Nếu ảnh hưởng đến hệ răng trưởng thành thì phải dùng phương pháp chỉnh hình răng vừa mất tiền lại mất thời gian để khôi phục lại vẻ thẩm mỹ và chức năng nhai của răng. Vì vậy,khi phát hiện răng trẻ có bất thường thì quý phụ huynh nên đưa trẻ đến phòng nha hoặc cơ sở y tế để được khám và tư vấn. 

Có 2 phương pháp niềng răng hô mang lại kết quả tối ưu nhất và đang được rất nhiều khách hàng tin tưởng, lựa chọn. Đó là:

+ Niềng răng hô mắc cài: Niềng răng mắc cài sứ, niềng răng mắc cài kim loại, niềng răng mặc trong…


 


 
 + Niềng răng hô không mắc cài: Niềng răng trong suốt Clear Align, niềng răng không mắc cài Invisalign.

 


 

Một số ưu điểm niềng răng hô tại Nha Khoa Tâm Việt?



Niềng răng hô được áp dụng trong trường hợp hô móm do răng, bác sĩ Nha Khoa Tâm Việt sẽ sử dụng các khí cụ nha khoa cố định hay tháo lắp gắn trực tiếp lên răng, các khí cụ sẽ tạo ra một lực kéo dịch chuyển toàn bộ hàm răng trên bị hô về đúng vị trí khớp cắn hai hàm, răng thẳng đều và ngay ngắn hơn.

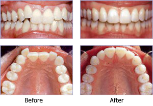
Niềng răng hô giúp dịch chuyển hàm răng bị hô về đúng vị trí khớp cắn, cải thiện tính thẩm mỹ cho hàm răng và nụ cười của bạn. Giúp bạn tự tin với chính mình và mọi người quanh bạn.


Các hương pháp được các chuyên gia chỉnh nha hàng đầu trên khắp thế giới khuyên dùng và đánh giá cao những ưu điểm vượt trội khi bạn niềng răng hô như sau:

+ Nắn chỉnh, dịch chuyển hàm răng hô về đúng vị trí khớp cắn, cải thiện tính thẩm mỹ cho hàm răng và nụ cười.
 
+ Sở hữu một hàm răng đều đẹp giúp bạn tự tin hơn trong giao tiếp hàng ngày.
 
+  Khi hàm răng hô được cải thiện sẽ làm thay đổi khuôn hàm của bạn, làm khuôn mặt trở nên thon gọn, hài hòa hơn.
 
+ Giúp chức năng cắn nhai được thực hiện dễ dàng hơn.
 
+ Vệ sinh răng miệng dễ dàng
 
+ Bảo vệ sức khỏe nha hàm luôn khỏe mạnh.
 
+ Giúp việc phát âm chuẩn xác hơn

 

Thời gian niềng răng hô là bao lâu?


Thời gian niềng răng hô phụ thuộc nhiều vào sự phát triển của xương hàm và độ phức tạp răng miệng của bệnh nhân. Bác sĩ tại Nha Khoa Tâm Việt cho biết có trường hợp chỉ cần mang niềng răng từ 6 tháng đến 1 năm, nhưng cũng có trường hợp từ 2 đến 3 năm. Thời gian cột kẽm duy trì kết quả khoảng 6 tháng. Và sau khi tháo mắc cài bạn phải mang một cặp khí cụ duy trì trong suốt, nhằm tránh trường hợp răng có thể di chuyển trở lại. Khi kết quả chỉnh hình an toàn thì bạn chỉ cần trở lại phòng khám 6 tháng 1 lần để kiểm tra lại.

 


 

Bảng giá dịch vụ nha khoa tại Gò Vấp 
 

1. Cạo vôi và đánh bóng Người lớn  100.000 – 300.000 VNĐ
Em bé  80.000 – 150.000 VNĐ
2. Nhổ răng Tiểu phẩu  1.000.000 – 1.500.000 VNĐ
Người lớn  300.000 – 600.000 VNĐ
Em bé  100.000_150.000 VNĐ
3. Nội Nha  700.000 – 1.100.000 VNĐ
4. Trám răng thẩm mỹ Người lớn  150.000 _ 350.000 VNĐ
Em bé  100.000 VNĐ
5. Tẩy trắng răng Tại Nha khoa  2.000.000 VNĐ
Tại nhà  1.400.000  VNĐ
6. Răng tháo lắp Răng nhựa VN  300.000 VNĐ/ 1 răng
Răng nhựa ngoại  500.000 VNĐ/ 1 răng
Răng sứ  600.000 VNĐ/ 1 răng
Tháo lắp hàm khung 3.000.000/ 1 hàm( chưa tính răng)
7. Phục hình sứ Răng sứ Kim Loại  1.000.000 VNĐ/ 1 răng
Răng sứ Titan  2000.000 VNĐ/ 1 răng
Răng sứ Zirconia  4.000.000_5.000.000 VNĐ/ 1 răng
Răng sứ Cercon  5.500.000  VNĐ/ 1 răng
Onlay, inlay sứ  3.500.000 VNĐ/ 1 răng
Veneer sứ  5.000.000 VNĐ
Veneer Non-Prep
(không mài răng)
 8.000.000_10.000.000 VNĐ /1 răng
Emax Perss/Emax CAD   5.500.000 VNĐ/ 1răng
8. Chỉnh hình răng  20.000.000_80.000.000 VNĐ
9. Cấy ghép Implant 14.000.000_22.000.000 VNĐ/ 1 răng
10. Đính đá thẩm mỹ  900.000/ 1 răng
NHA KHOA TÂM VIỆT – TÂM VIỆT DENTAL CLINIC
KÍNH CHÀO QUÝ KHÁCH

 
 

Đăng ký khám tại Phòng khám nha khoa Tâm Việt tại http://www.nhakhoatamviet.com

Địa chỉ: 366 Quang Trung, Phường 10, Quận Gò Vấp, Hồ Chí Minh

Email: nhakhoatamviet366@gmail.com

Điện thoại: 028.66 753 538 – 0941 818 149

Facebook.com/nhakhoatamviet.366

BÌNH LUẬN & CHIA SẺ
Đọc thêm
  •  

    NIỀNG RĂNG MẮC CÀI SỨ VÀ NHỮNG ƯU ĐIỂM CỦA NIỀNG RĂNG MẮC CÀI SỨ

    Niềng răng mắc cài sứ là phương pháp chỉnh nha áp dụng khí cụ chỉnh nha tương tự niềng răng mắc cài kim loại, điểm khác biệt là mắc cài kim loại thường được thay bằng mắc cài sứ.
  •  

    TRƯỜNG HỢP NÀO NÊN VÀ KHÔNG NÊN TRỒNG RĂNG IMPLANT

    Cấy ghép implant là giải pháp tối ưu cho người bị mất răng lâu năm. Implant là phương pháp phục hình răng đã mất bằng cách cấy 1 trụ titan vào xương hàm, không làm ảnh hưởng tới các răng kế cận như các phương pháp cầu răng truyền thống; không gây tiêu xương, không gây vướng, khó chịu như các hàm giả tháo lắp.

  •  

    BẠN NÊN LÀM GÌ TRƯỚC VÀ SAU KHI NIỀNG RĂNG?

    Để đảm bảo hiệu quả niềng răng chỉnh nha, bạn cần lựa chọn cho mình nha khoa uy tín và chất lượng.Hiện nay, có rất nhiều nha khoa thực hiện niềng răng thẩm mỹ, nhưng để có thể tin tưởng bạn nên chỉnh nha ở các phòng chuyên sâu về niềng răng.
  •  

    RĂNG SỨ NACERA CÓ NHỮNG LOẠI NÀO?

    Răng toàn sứ Nacera được các chuyên gia răng sứ đánh giá tốt về chất lượng bởi 3 yếu tố: Độ chịu lực cao, tính thẩm mỹ tốt và sự lành tính với cơ thể.